UNIVERSITY CLINIC FOR NEUROSURGERY

Medulloblastoma

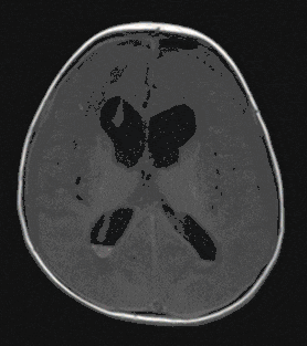
Medulloblastoma is the most common malignant brain tumor in childhood and usually leads to intracranial pressure symptoms due to its growth in size.

Complete surgical removal and systematic follow-up treatment according to current study protocols of the interdisciplinary Pediatric Oncology Board are essential factors for a good prognosis.

You are welcome to contact our clinic for consultation.

Last Modification: 12.07.2023 - Contact Person:

Sie können eine Nachricht versenden an: Webmaster
Sicherheitsabfrage:
Captcha
 
Lösung: